Ultrassom
CBit10
Ultrassom Inteligente
Registro Anvisa:81504799085
Especificações
Técnicas
sistema inteligente que entrega imagens de alta definição, respostas rápidas e precisão diagnóstica em cada detalhe.
Bateria
O gerenciamento inteligente dos bastidores permite maior vida útil da bateria
- Painel
- Tela LED HD de 23,8 polegadas
- Tela sensível ao toque de 13,3 polegadas
- Ergonômia
- Altura ajustável
- A inclinação ergonômica garante visualização multidimensional e multiangular.
- Conectores
- Quatro conectores de sonda
- Funções
- Suas funções de última geração e fluxo de trabalho intuitivo
Recursos Excepcionais
SonoNeedle
- A função SonoNeedle é um sistema de navegação por punção diagnóstica ultrassônica de última geração. Nesse modo, o trajeto da agulha e a posição da ponta da agulha são exibidos dinamicamente em cores e em tempo real.
- Pode melhorar a eficiência e a precisão da perfuração.
AutoEF
- Reconhecer e envolver automaticamente o endocárdio com precisão e fornecer valores de medição da função cardíaca (EDV, ESV, FE) de forma síncrona.
- Aumenta significativamente a eficiência do trabalho.
SonoContraste
● Uma tecnologia inovadora.
● Maior sensibilidade.
● Melhor contraste.
● Adaptável a todas as sondas: linear, convexa, transvaginal.
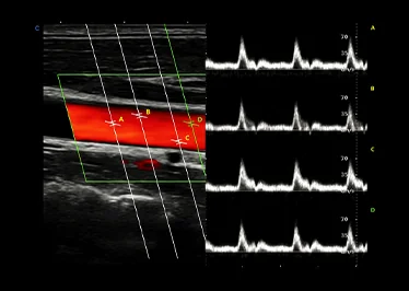
SonoPw
- O intervalo de amostragem pode ser estendido para 4 durante o modo PW.
- Ele pode alternar e ativar cada portão de amostra para realizar a medição do espectro em múltiplos pontos no mesmo ciclo cardíaco e no mesmo plano de varredura.
Aplicações
- Imagem Geral
- Cardiologia
- Saúde da Mulher
Imagens Clínicas








Transdutores
Ampla compatibilidade com transdutores de alta performance, garantindo versatilidade e precisão para diferentes aplicações clínicas, com excelente qualidade de imagem em todas as frequências.
Conectores
Captação eficiente de sinais para imagens mais nítidas e confiáveis.
Ergonômica
Desenvolvidos para garantir conforto durante o uso contínuo e reduzir a fadiga do profissional.











Converse com nossos especialistas e descubra como o CBIT8 pode transformar sua rotina clínica com mais precisão, agilidade e confiança em cada diagnóstico.
Garanta mais precisão, praticidade e desempenho no seu dia a dia, entre em contato e solicite sua proposta agora mesmo!